Blogs

COMMONLY OCCURING TOP 10 DENTAL PROBLEMS:

title

This article discusses the top 10 most common dental problems and how they're prevented and treated.

 

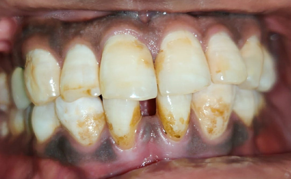
    1. Yellow colour teeth: This is the most common problem in now a days, most of the people commonly asking to the dentists. Why my teeth are in this colour?.. The answer to this situation is simple, that.. First the dentist has to check the teeth, whether the discolouration could be due to some teeth developmental problem or due to habits like excessive intake of some drinks like..Coffee, tea and tobacco chewing etc. or it can be due to thick plaque formation on the teeth. So, the management for this condition is varies from simple cleaning of the oral cavity to extensive Smile designing procedures that will be depending on the clinical situation. 

     

    2. Sensitivity: Toothsensitivity is a common problem that affects millions of people around the world. Sensitivity shows pain or discomfort from Sweets, Hot drinks, Cold drinks,Ice cream.etc. this condition has to be treated by the severity of the condition. These condition can be mild, moderate or severe. The management can be varies from  usage of anti-hypersensitive medication for few months to advanced restorative treatments. So consult your dentist for the proper diagnosis and management, otherwise that sensitive tooth can become infected in the jaw.

     

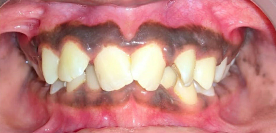
    3. Bleeding gums: Bleeding from gums while brushing or biting any hard food is also one of the most common problem occurring to the people. The reason could be due to gum disease or some blood related disorders. Gum disease is an infection in the gums around the teeth. It's also a major cause of adult tooth loss. Some studies show a link between gum disease and heart problems. Everyone's at risk for gum disease. But it's most common after age 30. Smoking is a significant risk factor. Diabetes and dry mouth also increase the risk. Gingivitis is the technical name of gum disease and Periodontitis is advanced gum disease. Regular dental check-ups, brushing, and flossing can prevent them.

     

    4. Tooth decay(cavities):is the most common dental problem in all around the world and it occurs young and old, male and female population , not related to any age and gender.

    Tooth decay occurs when plaque combines with sugars of the food when we eat. The combination produces acids that attack on tooth enamel , leads to tooth surface discoloration and loss of tooth structure. The best way to prevent tooth decay is by brushing twice a day, flossing  and getting regular dental check-ups.
    Also, eat healthy foods and avoid high-sugar snacks and drinks. Ask your dentist about more ways to keep your teeth healthy.

     

    5. Missing teeth: It’s not uncommon to have missing teeth. In fact, a survey in 2015 found that nearly 1 in 5 seniors over 65 are missing all of their teeth (called edentulism). Genetic conditions, gum disease, injury,  and tooth decay are among the many causes of tooth loss. Tooth loss can affect chewing patterns, cause bone loss, and impact self-esteem, and it can lead to other health conditions if left untreated. Fortunately, there are ways to restore the smile, such as with dental implants, dentures, and dental bridges.

     

    6. Tooth ache: It occurs when the pulp and surrounding tooth structure get affected.

    This can be due to cavities, gum disease or tooth fractureRoot canal treatments and gum treatments do an excellent in preventing the extraction of the particular tooth and curing the pain and symptoms.

     

    7. Gaps and food lodgement: Out of all the new patients we see each year, many acknowledge that food trapping between their teeth is one of their chief concerns. As you may know, food trapping between your teeth can cause an annoying and unpleasant pressure sensation. Clinically, food accumulation can cause tooth decay as well as inflammation and gum disease.

What causes food traps?

    A few things can cause a food trap. Some occur naturally while others are the result of dental treatment. Causes of food traps include:

    • Dental work that's not properly shaped. .
    • Bone loss due to gum disease. 
    • Naturally occurring  gaps or spaces. 

    So these food traps can be eliminated with the regular Dental check up with proper dental treatments

     

    8. Crowded teeth, spicing in the teeth and forwardly placed teeth, etc..: Malocclusion of the teeth is when your teeth are misaligned. This can lead to oral health complications if left untreated. 

    Occlusion refers to the alignment of your teeth. Changes in alignment of your typical occlusion are known as malocclusion. Malocclusion is usually an inherited condition. This means it can be passed down from one generation to the next. A dental professional can typically correct malocclusion of teeth in children and adults.

    Receiving early dental treatment in childhood can help reduce the treatment duration and may lead to fewer dental expenses in the long run.
    Depending on your type of malocclusion, your CLIP SPECIALIST may recommend various treatments. These can include:

    • braces to correct the position of your teeth
    • dental appliances or retainers to realign teeth

    The earlier you treat malocclusion, the better the outcome.

 

    9. Bad breath: Bad breath, or halitosis, can be one of the most common problem. Studies say a dental condition is to blame in about 85% of people with persistent bad breath.

     They may include:

    • Gum disease
    • Cavities
    • Oral cancer
    • Dry mouth
    • Bacteria on the tongue

    Mouthwash only masks the odor caused by these problems. If you have chronic bad breath, visit your dentist to see what's behind it and how to manage that condition.

 

    10. Wisdom tooth problems. If you are a young adult, then wisdom teeth eruption may have troubled you. Since these last teeth in the tooth sequence try to make space for itself while erupting, it leads to swelling as well as pain in the process. It can be treated with a timely diagnosis of the status of the eruption of the wisdom teeth. If it has not erupted properly it can leads to gum infection and cavity formation on that tooth. So consult the dentist for proper diagnosis and management.