loader

Prosthetic Dentistry

img

Prosthetic Dentistry

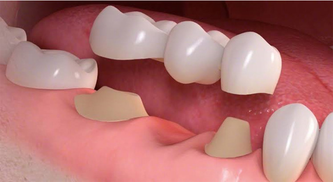
There are a lot of factors that contribute to the loss of teeth. While some lose theirs because of injury, disease and wear such as grinding and clenching, others are born without certain teeth. Tooth loss creates both aesthetic and functional inconveniences. At times this may result to undesirable facial changes, detrimental effects on chewing ability and consequently, damages on one’s confidence and self-esteem.

Prosthodontics or dental prosthetics is a specialty in dentistry involving the diagnosis, treatment planning, rehabilitation and maintenance of the oral function, health and aesthetics of patients with missing teeth, deficient teeth and/or compromised oral and maxillofacial tissues using biochemical substitutes.

Appointment

img

 

Simply Click Here Button at bottom with your details and Whatsapp it to us. We will respond at the earliest opportunity and guide you in the most appropriate way.